Безметалловая керамика Е-max
Будущее эстетической стоматологии — безметалловая керамика!
На ряду с такими программами безметалловых систем, как диоксид циркония и оксид алюминия, система IPS.e.max нашла широкое применение в Европе и приобрела высокую популярность среди всех эстетических реставраций, дополнив уже существующие.
Система e.max – представляет собой прессованную керамику, имеющую высокое содержание кристаллов лейцита, благодаря чему, она обладает высокой прочностью. При этом конструкция каркаса состоит полностью из одного материала и его можно использовать, отмоделировав, под зуб. В этом случае цвет «подгоняется» при помощи краски. Так же можно нанести керамику на каркас.
Этот продукт нашел широкое применение для восстановления зубов с изготовлением цельнокерамических коронок и виниров.
Безметалловая керамика e.max , благодаря своей прозрачности, предоставляет большие возможности для восстановления натурального оттенка зубов, как и у всех безметалловых программ, но выбор цвета и прозрачности у e.max значительно больше.
Преимущества системы IPS.e.max в следующем:
- Наличие большого опыта применения такой керамики во всем мире.
- Высокая эстетичность конструкций достигается благодаря широкому цветовому спектру, высокой светопроводимости.
- Со временем керамика не изменяет свой внешний вид.
- Высокая прочность керамики.
- Обладает высокой биосовместимостью.
- Простота и легкость в уходе за конструкцией. Не накапливает налет и зубной камень.
- Отсутствие необходимости сильной обточки зубов!
- Долговечность конструкции.
- Отсутствие металла придает особую легкость конструкции.
- Не дает аллергическую реакцию.
Совместима с температурой обжига керамики, что уменьшает образование микротрещин и сколов.
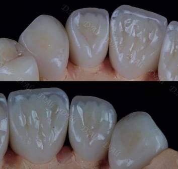
Фото: Керамический винир
Когда применяется:
- Для изготовления цельнокерамических коронок, в основном при восстановлении передних зубов.
- При восстановлении зубов с помощью керамических вкладок. Керамическая вкладка E-MAX превосходит по гигиеничности, прочности и эстетичности и др. характеристикам световую пломбу.
- Если необходимо установить цельнокерамическую коронку на зубные импланты.
Для устранения зубных дефектов с помощью виниров. При изготовлении виниров из керамики е макс, снимается от 0,3 до 0, 6 мм. эмали с поверхности зуба. При таком подходе зуб выглядит достаточно натурально. Необходимо иметь ввиду, что виниры, изготовленные из материала E-MAX – не самые тонкие.



